Financing
Porcelain Crowns (Caps)
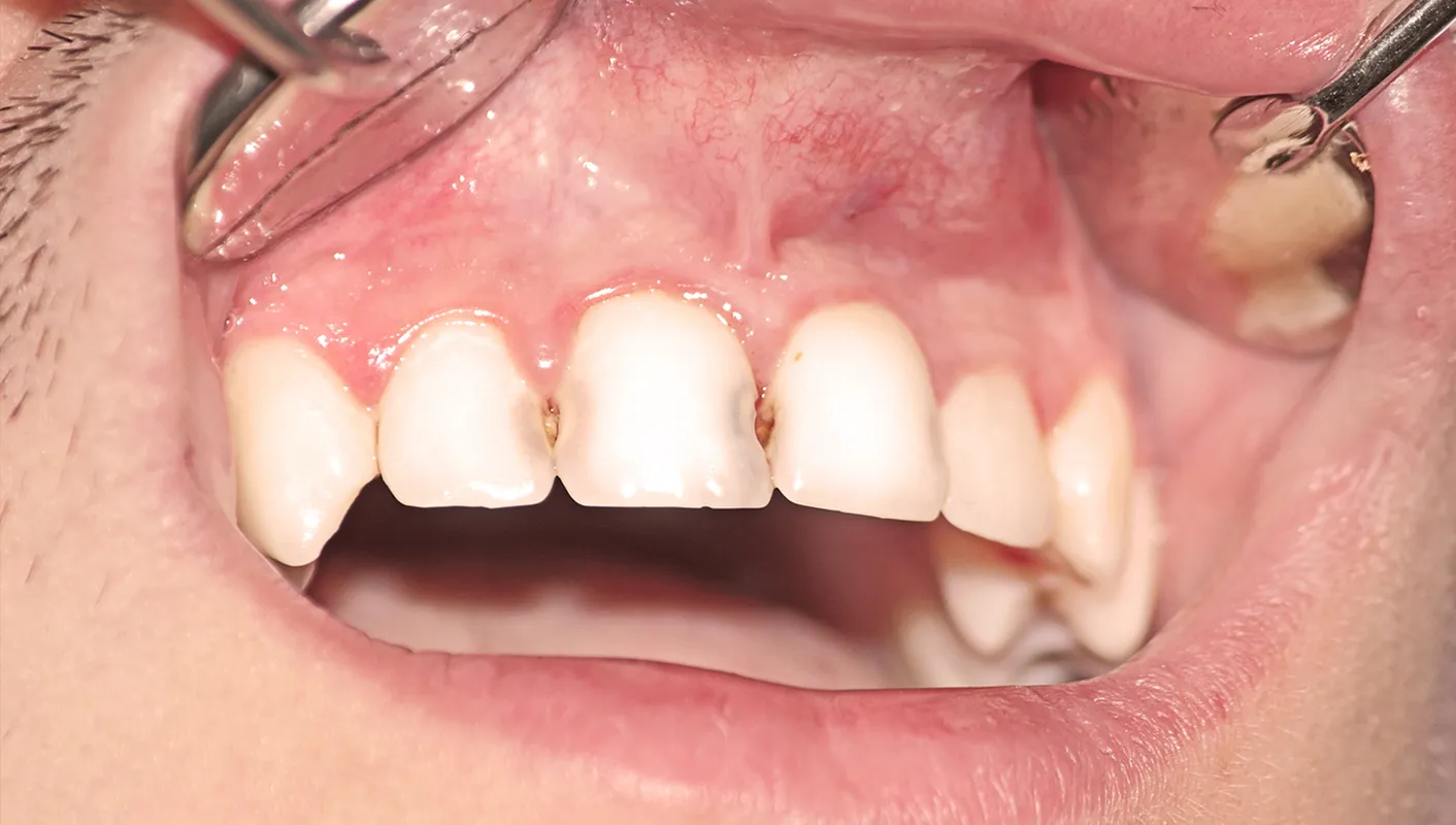
Before: Front (left) central tooth has a poor restoration. Does not look natural and is not contoured properly to match the gumline of the rest of the teeth.
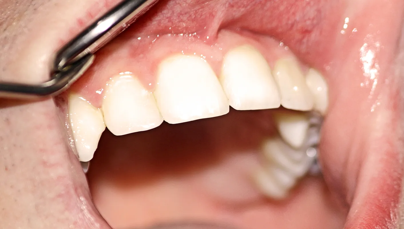
After: Replaced with an all-porcelain crown (no metal). Tooth is now contoured to match the rest of the gumline. Restored tooth looks very natural and matches the shape and color of the patient’s teeth.
Patient Photos Depicting:
- Crowns (Caps)
- Porcelain Crowns (Caps)
Note: Patients depicted in photos have provided their consent to display their pictures online. Results may vary.
Before: Patient needs upper arch rehabilitation. Presents with upper anterior teeth that are stained, incisal edges are worn/chipped, and gumline recession is present.
After: Smile restored with placement of 8 all-porcelain crowns (caps). Gumline and incisal edges are uniform with longer, better-shaped teeth for improved smile line and chewing function.
Patient Photos Depicting:
- Porcelain Crowns (Caps)
Note: Patients depicted in photos have provided their consent to display their pictures online. Results may vary.
Before: Patient needs a single tooth replacement of one upper central incisor.
After: Smile and function restored with a single implant and an all-porcelain crown (cap) that fits securely over the implant.
Patient Photos Depicting:
- Crowns (Caps)
- Dental Implants
- Porcelain Crowns (Caps)
Note: Patients depicted in photos have provided their consent to display their pictures online. Results may vary.
Before: Patient needs upper and lower arch rehabilitation.
After: Great smile, chewing function, and facial tissue support achieved with an upper denture supported with implants and lower implants with crowns.
Patient Photos Depicting:
- Crowns (Caps)
- Dental Implants
- Dentures & Partial Dentures
- Porcelain Crowns (Caps)
Note: Patients depicted in photos have provided their consent to display their pictures online. Results may vary.
Location
29910 Murrieta Hot Springs Rd Ste R, Murrieta, CA 92563
Phone: (951) 677-9104
Email: poredds1@gmail.com
- MON - THU: 9:00 am - 5:00 pm
- FRI: Closed
- SAT: By appointments only.
- SUN: Closed
- MON - THU: 9:00 am - 5:00 pm
- FRI - SUN: Closed
